Salud y Belleza ¿Por qué la migraña está aumentando y qué puedes hacer para aliviarla? Esto dice la ciencia
Salud y Belleza ¿Te duele la cabeza o el estómago sin razón? Estas podrían ser señales ocultas de ansiedad
Salud y Belleza Ni reposo ni dietas milagrosas: 4 mitos comunes sobre cómo combatir la migraña crónica
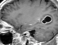
Curiosidades El hombre con migrañas al que médicos en EE.UU. le encontraron larvas en el cerebro por comer carne de cerdo poco cocida
Salud y Belleza ¿Por qué las mujeres tienen más y peores migrañas que los hombres?: así lo explica una neuróloga