21 ago 2020 , 01:46

La COVID-19 puede dejar secuelas incluso en asintomáticos

   

Los pacientes presentan confusión mental y les cuesta articular palabras.

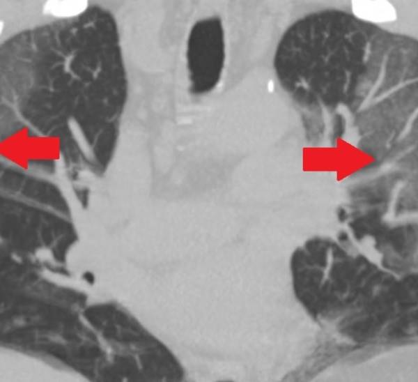
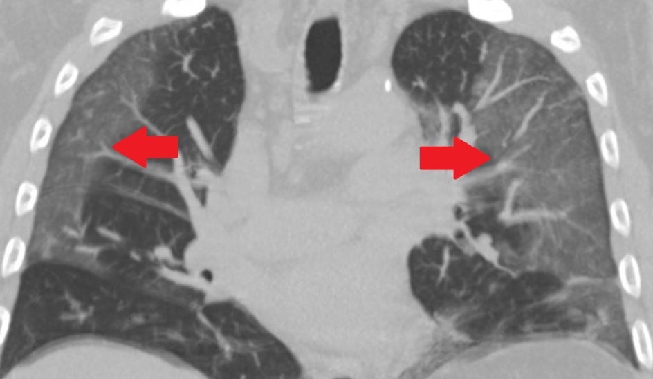
La epidemióloga ecuatoriana Catalina Yépez considera que la COVID-19 puede dejar secuelas, incluso en los pacientes asintomáticos, pues hay estudios que revelan que personas que se han contagiado y no han presentado síntomas, pueden desarrollar consecuencias cardíacas o cerebrovasculares.

 

Otra de las consecuencias es la llamada "niebla del COVID", cuando los pacientes presentan confusión mental y les cuesta articular palabras o hacer operaciones matemáticas simples, refirió esta exasesora externa de la Organización Panamericana de la Salud (OPS).

 

Incluso atletas que se han infectado sin saberlo han presentado, luego de superar la enfermedad, cuadros de fatiga y cansancio en ciertas actividades que no suponían esfuerzo antes del contagio.

 

MENOR MORTALIDAD

 

En declaraciones a EFE, Yépez dijo que, pese a que la primera oleada de la pandemia ha pasado en algunos lugares, como en China, España e Italia, el nivel de propagación sigue siendo alto, aunque en el horizonte ya fulguran posibles soluciones.

 

Y aceptó que en la actualidad la mortalidad del virus es menor, pues los sistemas sanitarios han aprendido a combatirlo, por ejemplo, con el uso de dexametasona, un tratamiento por el que los pacientes graves responden favorablemente.

 

Sin embargo, la científica ecuatoriana advirtió que esos avances en el conocimiento de la enfermedad "no pueden suponer que el COVID no nos va a dejar secuelas".

 

Por ello, sigue siendo imperativo el cuidado sanitario con las normas que se han ido ajustando con el tiempo: Lavado frecuente de manos, distanciamiento físico de al menos dos metros y uso de mascarillas, sostuvo.

 

"Hay estudios que dicen que si se comparte 15 minutos sin mascarillas, la probabilidad de contagio grave es muy alta", añadió al lamentar que haya grupos humanos, como el de los jóvenes de entre 20 y 40 años, que ahora están más expuestos.

 

"El contagio entre adultos mayores (ancianos) es menor porque ellos se están quedando en casa", no salen a la calle y han asimilado las medidas de precaución, explicó la epidemióloga.

 

Y no se explica la protesta del pasado fin de semana en España contra el uso permanente de mascarillas, justo en un país que ha experimentado en aumento de casos.

 

"Los asintomáticos y los enfermos leves están contagiando" a otras personas y por ello debe ser riguroso el uso de mascarilla y el distanciamiento físico, insistió.

 

COMPETENCIA DE VACUNAS, ENTRE LA CALIDAD Y EL PRECIO

 

Para Yépez, en el mundo se ha abierto una suerte de competencia en el desarrollo de la vacuna para el coronavirus, pero esta carrera parece situarse en una discusión sobre la calidad y el precio.

 

"Normalmente las vacunas requieren de cuatro o cinco años" para ser puestas en el mercado, aunque la actual situación ha obligado a generar avances significativos en corto tiempo.

 

Rusia ha anunciado la patente de su vacuna, aunque debe llevar adelante la fase III de las pruebas, mientras que China prevé probar la suya con 5.000 voluntarios en Arabia Saudí, para identificar qué tipo de reacciones genera el medicamento.

 

El desarrollo de la vacuna británica, de Astrazeneca y Oxford, va por el mismo camino y se han anunciado ya avances en proyectos de otros países como Estados Unidos.

 

Para Yépez, "no importa quién tiene primero la vacuna", lo importante es que sea efectiva, de alta calidad y que llegue a todas las personas de la mejor forma.

 

Según la especialista, la Organización Mundial de la Salud ha propuesto que una primera fase de vacunación, que en Ecuador podría tener lugar en diciembre o enero, debe aplicarse al 20 por ciento de la población más vulnerables, para aliviar los sistemas sanitarios.

 

Una segunda fase de vacunación debe aplicarse al personal sanitario y la tercera etapa a toda la población, agregó al sugerir que la región debería aprovechar el Fondo Rotatorio de la OPS, una caja común que permite abaratar el coste de la vacuna.

 

LA COVID-19 NO SERA LA ÚLTIMA PANDEMIA

 

"Que esta va a ser la última pandemia, definitivamente que no", pues la historia de la humanidad da cuenta de una cada siglo, aunque ahora esos tiempos parecen haberse acortado por la interconexión tan estrecha que ha adquirido la humanidad, subrayó Yépez.

 

El incremento del comercio mundial también genera una mayor exposición de las poblaciones y, por consecuencia, "mayor riesgo de una pandemia".

 

"Todos los sistemas de salud tenemos que prepararnos para hacer frente a una próxima pandemia", para que "no genere la letalidad, el dolor y el colapso" de los sistemas sanitarios que se ha visto en este 2020, concluyó.

 

Por eso, para ella, "el mensaje es el mismo. Esto no ha terminado, el virus llegó para quedarse. ¿Cuándo se irá?, no lo sabemos"

Noticias
Recomendadas