Viruela del mono: plantean hipótesis de que enfermedad se transmite por vía sexual
Este viernes finalizó un foro de expertos donde analizaron una respuesta para el actual brote.
-
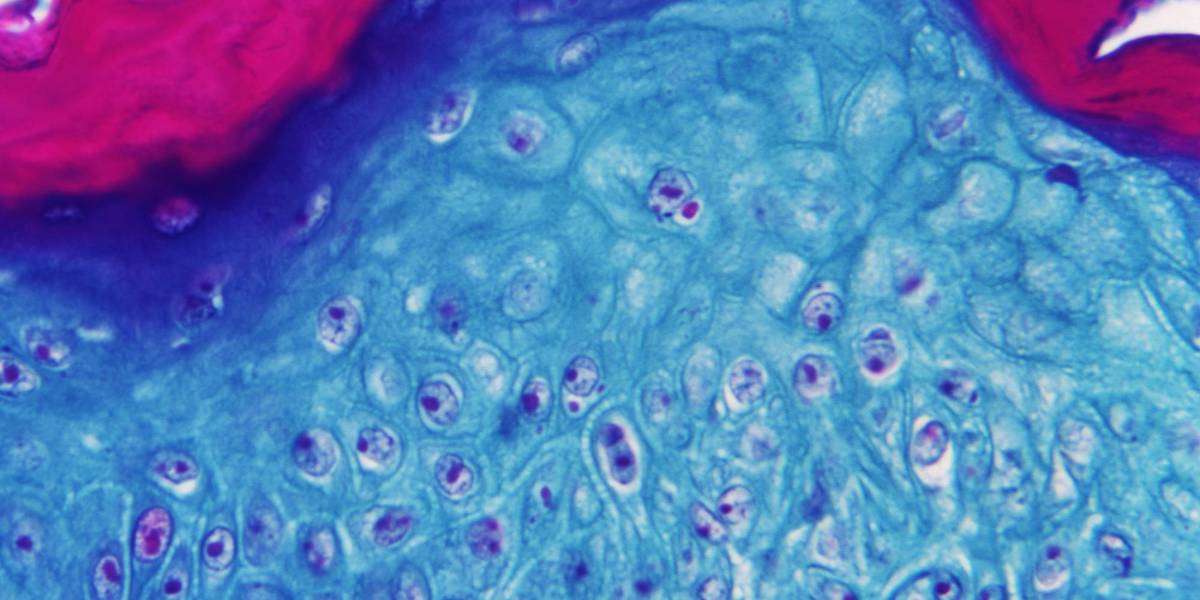
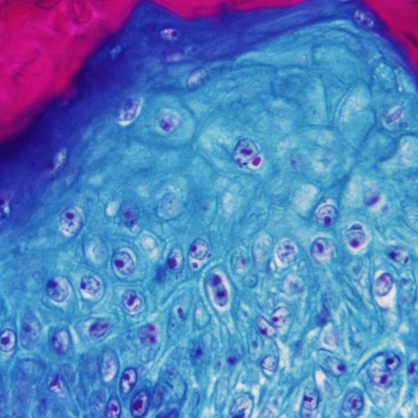
Imagen ampliada con un microscopio de una muestra de piel de un mono infectado con el virus de la viruela del mono, cedida por el "Center for Disease Control and Prevention". EFE( )
El foro de expertos auspiciado esta semana por la Organización Mundial de la Salud (OMS) para analizar respuestas al actual brote de viruela del mono finalizó hoy con más preguntas que respuestas, e incluso nuevas hipótesis que barajan que la enfermedad pueda transmitirse por vía sexual.
Aunque en las últimas semanas la OMS ha insistido en que la viruela del mono se transmite por contacto físico próximo, no necesariamente sexual, expertos participantes en la reunión virtual de dos días subrayaron que deben realizarse más análisis en laboratorio.
Es necesario, según ellos, analizar muestras de semen en busca del virus causante de la enfermedad, o investigar por qué en países endémicos como Nigeria esta viruela menos grave que la convencional es especialmente prevalente en hombres y no en mujeres.
OLVIDADA CUANDO ATACABA EN ÁFRICA
Una conclusión que sí se extrajo en los dos días de debates fue el hecho de que la viruela del mono ha sido una enfermedad olvidada durante las cuatro décadas en las que ha sido endémica en África occidental y central, y sólo se le ha prestado atención cuando se ha declarado un brote en naciones desarrolladas como las europeas.
El actual brote en países no endémicos totaliza al menos 643 casos (190 en Reino Unido, 142 en España y 119 en Portugal), mientras que en los países de África donde sí era prevalente este año se han detectado 1.405 contagios (1.264 de ellos en la República Democrática del Congo) y 66 muertes.
Expertos plantean hipótesis de que viruela del mono se transmita sexualmente, ya que se apunta a roedores y no a monos como principales transmisores, pero hay miles de especies de estos animales en las regiones endémicas.
Médicos africanos de las zonas con frecuentes casos explicaron que los niños son allí los más afectados por esta enfermedad, concentrando a veces casi un 90 % de los casos, y apuntaron la posibilidad de que lo contraigan en cacerías rurales de pequeños animales.
En la República Democrática del Congo, por ejemplo, un 72 % de los contagios confirmados se atribuyeron a contactos con roedores, y sólo un 28 % por transmisión entre humanos.
POCOS CASOS, PERO SIGNOS INQUIETANTES
Aunque en las reuniones se insistió en que la viruela del mono "es un brote, no una pandemia" hubo conclusiones preocupantes sobre su epidemiología, como que la enfermedad posiblemente es transmisible de la madre embarazada al feto, o que en países con redes sanitarias poco desarrolladas alcanza una letalidad de hasta el 7,5 %.
Su extensión a zonas no endémicas "muestra un mundo cada vez más interconectado", alertó la investigadora Helen Rees, moderadora del foro, mientras que la epidemióloga colombiana Ana María Henao, del Plan de Diagnósticos y Vacunas de la OMS, consideró que la respuesta a la viruela del mono debe servir para medir la capacidad sanitaria internacional ante emergencias sanitarias postcovid.
Los expertos subrayaron al inicio del foro que pese a lo inusual de este brote es "todavía controlable", y resaltaron que la comunidad médica debe centrarse en continuar detectando casos, analizar posibles cadenas de transmisión y proteger a los trabajadores sanitarios.
Para esa protección podrían servir las vacunas contra la viruela convencional, una enfermedad más grave pero que fue erradicada en el planeta hace 40 años, por lo que la vacunación contra esa enfermedad se interrumpió hace décadas y muchas generaciones más jóvenes no están inmunizadas.
Ambas viruelas son causadas por virus de la misma familia (orthopoxvirus) y se calcula que la vacuna contra la viruela convencional tiene una eficacia del 85 % contra la del mono, aunque es posible que ese porcentaje haya bajado debido al largo tiempo en la que la mayoría de las personas fueron inoculadas hace décadas.
NO A UNA VACUNACIÓN MASIVA
Los expertos coincidieron en que todavía no debe considerarse una vacunación masiva de toda la población de un país afectado contra la viruela del mono, algo que la OMS también ha defendido en las últimas semanas.
La enfermedad generalmente dura entre dos y cuatro semanas, y suele empezar con fiebre, dolores de cabeza, fatiga o picores, para acabar derivando en erupciones cutáneas que generalmente comienzan en la cara pero pueden extenderse a otras partes del cuerpo.
En la reunión de expertos se subrayó que en casos más graves el número de erupciones puede superar el cuarto de millar, y se advirtió que si éstas se extienden a los ojos pueden provocar ceguera.
Como medidas preventivas, la OMS recomienda evitar el contacto físico con infectados, llevar mascarilla al estar en contacto con ellos o con su ropa, y limpiar y desinfectar superficies posiblemente contaminadas.
Recomendadas