26 abr 2013 , 08:06

La gonorrea cerca de no ser tratable

   
user placeholder

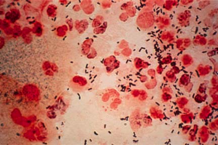
Dentro de dos años, 2015, la gonorrea puede ser intratable en Reino Unido si no se hace algo al respecto.

Dentro de dos años, 2015, la gonorrea puede ser intratable en Reino Unido si no se hace algo al respecto. Esta es la advertencia de una especialista inglesa en el área de transmisión sexual quien este martes informó que la resistencia a antibióticos está convirtiendo la enfermedad intratable.

 

Los casos de gonorrea en ese país han aumentado un 25%, una tendencia que no es ajena a otras partes del mundo. Según la Organización Mundial de la Salud (OMS), cada año 106 millones de personas se contagian de esta enfermedad de transmisión sexual.

 

Un panorama que se vuelve aún más desalentador si se toma en cuenta que varios países, como Australia, Francia, Japón, Noruega, Reino Unido y Suecia, "han notificado casos de resistencia de esta infección a las cefalosporinas, la clase de antibióticos que representa la última opción contra la gonorrea", de acuerdo con la OMS.

 

Esta enfermedad puede causar una dolorosa infección, infertilidad y –en algunos casos– inflamación fatal en la zona del cerebro.

 

Agotando las opciones

Para curar la gonorrea, los doctores utilizan antibióticos cada vez más fuertes, pero el problema es que se les están acabando las opciones.

 

Al respecto, Cathy Ison, jefa del laboratorio de gonorrea que forma parte del departamento de Salud Pública de Inglaterra, explicó que la bacteria que causa la gonorrea es muy inteligente.

 

"Históricamente siempre ha desarrollado resistencia a antibióticos. Pero la diferencia en esta oportunidad es que no tenemos una nueva clase de antibióticos para atacarla", le dijo Ison a la BBC.

 

"Una vez que se haga resistente a la que usamos ahora –y ya estamos viendo una tendencia hacia ello, estamos viendo pacientes en toda Europa que no responden al antibiótico– entonces puede convertirse en intratable, al menos que salgamos con nuevos fármacos o nuevas estrategias".

 

Si la gonorrea no se puede tratar, puede causar complicaciones en el paciente, especialmente en la mujer.

 

Escenario desconocido

La especialista señaló que si bien no es común que esta enfermedad lleve a la muerte, "no sabemos lo que pasaría si dejamos de tratarla. Actualmente no la consideramos una enfermedad de trasmisión sexual fatal porque la tratamos".

 

Cathy Ison aclaró que no tiene conocimiento de que en este momento se esté creando una nueva clase de antibiótico para la enfermedad.

 

"Estamos estudiando la posibilidad de volver a usar viejos antibióticos en conjunto o combinados a fin de prevenir tratamientos fallidos".

 

Para evitar un escenario apocalíptico, hace dos años la OMS hizo un llamado "a ejercer una vigilancia más estrecha del uso correcto de los antibióticos y a realizar más investigaciones en torno a otras opciones de tratamiento de las infecciones gonocócicas".

 

A continuación le ofrecemos más información sobre las ETS más comunes.

 

Síntomas

En mujeres: flujo vaginal de un color verde o amarillo; dolor al orinar; dolor en el vientre y sangramiento entre períodos o períodos más fuertes.

 

En hombres: flujo blancuzco, amarillo o verde del pene; dolor o ardor al orinar e hinchazón en el prepucio.

 

Los síntomas normalmente aparecen a una semana de estar infectado, pero en otras ocasiones no se ven hasta meses más tarde.

 

La infección también puede afectar la vista, el recto o la garganta y el semen o el fluido vaginal entra en contacto con estas áreas.

 

Efectos:

Si se trata a tiempo, es poco probable que la gonorrea cause problemas a largo plazo.

 

Pero si se deja sin tratamiento puede causar serias afecciones en hombres, mujeres y bebés:

 

Infección de la uretra, el cuello uterino o el recto.

 

Esterilidad tanto masculina como femenina.

 

Aumento considerable del riesgo de infectarse con el VIH y transmitirlo.

 

Embarazo ectópico, aborto espontáneo, mortinatos y partos prematuros.

 

En un 30 a 50% de los bebés nacidos de mujeres que padecen gonorrea sin tratar se producen graves infecciones oculares que pueden desembocar en la ceguera.

 

Tratamiento:

Antibióticos suministrados en pastillas o inyección.

 

Fuentes: OMS y NHS (National Health Service, Servicio Nacional de Salud de Reino Unido)

 

Clamidia 

 

Síntomas

En mujeres: flujo vaginal de un color verde o amarillo; dolor al orinar; dolor en el vientre y sangramiento entre períodos o períodos más fuertes.

 

En hombres: flujo blancuzco, amarillo o verde del pene; dolor o ardor al orinar e hinchazón en el prepucio.

 

Los síntomas normalmente aparecen a una semana de estar infectado, pero en otras ocasiones no se ven hasta meses más tarde.

 

La infección también puede afectar la vista, el recto o la garganta y el semen o el fluido vaginal entra en contacto con estas áreas.

 

Efectos:

Si se trata a tiempo, es poco probable que la gonorrea cause problemas a largo plazo.

 

Pero si se deja sin tratamiento puede causar serias afecciones en hombres, mujeres y bebés:

 

Infección de la uretra, el cuello uterino o el recto

 

Esterilidad tanto masculina como femenina

 

Aumento considerable del riesgo de infectarse con el VIH y transmitirlo

 

Embarazo ectópico, aborto espontáneo, mortinatos y partos prematuros

 

En un 30 a 50% de los bebés nacidos de mujeres que padecen gonorrea sin tratar se producen graves infecciones oculares que pueden desembocar en la ceguera.

 

Tratamiento:

Antibióticos suministrados en pastillas o inyección.

 

Fuentes: OMS y NHS (National Health Service, Servicio Nacional de Salud de Reino Unido)

 

Herpes genital

 

Síntomas:

Las personas infectadas pueden tener ampollas en la zona genital, muslos y nalgas. Otros síntomas son dolor al orinar y flujo vaginal.

 

Pueden pasar meses o incluso años de ser infectado antes de que aparezcan los síntomas. Una vez que desaparece el primer brote, puede regresar de vez en cuando, pero por lo general es menos severo.

 

Efectos:

Las ampollas pueden infectarse y causar infección en la piel y en otras áreas.

 

También puede causar problemas durante el embarazo, dependiendo si la mujer tiene el virus.

 

El virus también puede infectar al bebé.

 

Tratamiento:

Para quienes lo padecen por primera vez se suele recetar pastillas antivirales.

 

Fuente: NHS

 

Verruga genital

 

Síntomas:

Causado por el VPH (virus del papiloma humano), estas protuberancias de carne, bultos o cambios en la piel aparecen en la zona genital o el área del ano.

 

Son la segunda infección más común después de la clamidia. La verrugas pueden aparecer por sí solas o en racimos, lo que le da una apariencia de coliflor.

 

Normalmente no son dolorosas, pero son incómodas en la zona del ano.

 

Los síntomas ocurren normalmente dos o tres meses después de la infección, algunas veces hasta un año, y una persona puede infectarse con el contacto de la piel o con la penetración.

 

Efectos:

No significan una amenaza seria a la salud, pero pueden causar angustia psicológica.

 

Tratamiento:

Cremas o lociones y algunas veces láser en verrugas más duras.

Fuente: NHS

 

 

Noticias
Recomendadas