30 jun 2014 , 05:33

Investigadores españoles hallan una proteína que frena cáncer de páncreas

   
user placeholder

El descubrimiento fue realizado por investigadores del Instituto Hospital del Mar de Barcelona.

Investigadores del Instituto Hospital del Mar de Investigaciones Médicas (IMIM) de Barcelona (noreste) aseguran que han identificado una nueva proteína, la Galectina-1, lo que puede frenar el cáncer de páncreas y aumentar un 20 % la supervivencia.

 

El hallazgo convierte a esta proteína en un posible remedio para el tratamiento de este tipo de cáncer y sin efectos adversos, según sugiere el trabajo de investigación, que se publicará en el próximo número de las revistas 'Cancer Research' y 'Oncoimmunology'.

 

Según el IMIM, los investigadores han comprobado por primera vez los efectos de la inhibición de esta proteína en ratones que padecen este tipo de cáncer y los resultados han mostrado un aumento de la supervivencia de un 20 %.

 

Hasta ahora, las estrategias para tratar este tumor iban dirigidas a atacar las células tumorales y tenían muy poco éxito.

 

Los últimos estudios apuntan que intentar destruir lo que rodea el tumor es posiblemente una estrategia mejor.

 

"Nuestra aportación va en esta dirección, ya que reducir la Galectina-1 afecta sobre todo al sistema inmunológico y a las células y estructura que rodea las células tumorales, lo que se denomina estroma, por lo que la Galectina-1 tiene un gran potencial", dijo la doctora Pilar Navarro, coordinadora del grupo de investigación en mecanismos moleculares de tumorigénesis del IMIM.

 

"Se ha visto además que la eliminación de la Galectina-1 en ratones no tiene efectos perjudiciales, por lo que podría tratarse de una diana terapéutica segura y sin efectos adversos", añadiói la investigadora Neus Martínez.

 

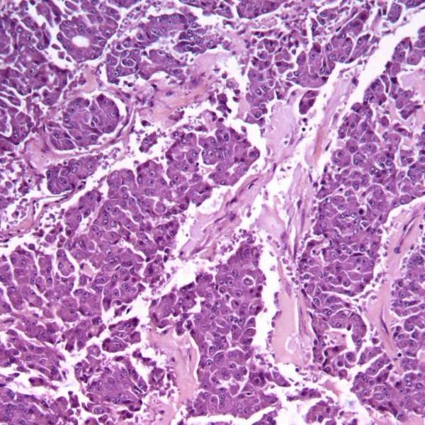
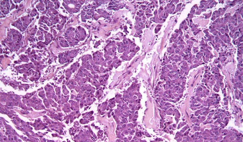
En colaboración con el Servicio de Anatomía Patológica del Hospital del Mar, que se ha encargado de analizar algunas muestras, se estudiaron tumores pancreáticos de ratones con los niveles altos de Galectina-1 y tumores después de eliminarla.

 

Los investigadores vieron que los tumores sin la proteína mostraban menos proliferación, menos vasos sanguíneos, menos inflamación y en cambio tenían un incremento del componente inmunológico, sobre todo en tumores menos agresivos.

 

El cáncer de páncreas es uno de los tumores con peor pronóstico que existe, con una supervivencia a los 5 años del diagnóstico inferior al 2 %.

 

Aunque no es un tumor muy frecuente, es la cuarta causa de muerte por cáncer en los países desarrollados porque a menudo se diagnostica demasiado tarde, cuando el tumor ya ha desarrollado metástasis y por la ineficacia de los tratamientos actuales. 

Noticias
Recomendadas